








Corregimos la posición de tus dientes torcidos o mal alineados con brackets metálicos, cerámicos o alineadores transparentes (como Invisalign).
No solo mejora la estética de tu sonrisa, también optimiza la mordida y facilita la limpieza.
Consiste en remover el sarro y la placa que el cepillado normal no elimina, dejando tus dientes más limpios y sanos.
Además, pulimos las superficies para prevenir caries y enfermedades en las encías. ¡Es el mejor aliado para una sonrisa fresca!
Un tratamiento seguro para aclarar el tono de tus dientes y reducir manchas causadas por el café, el vino o el tabaco.
Usamos técnicas especiales (como geles blanqueadores o luz fría) para lograr resultados visibles en una sola sesión o desde casa, según tu necesidad.
Reemplazamos dientes perdidos con una raíz artificial de titanio que se integra al hueso, y sobre ella colocamos una corona idéntica a tus dientes naturales.
Es la solución más duradera y funcional para recuperar tu sonrisa y masticación.
Cuando una caries es muy profunda o hay infección, limpiamos el interior del diente (nervio y tejido dañado), lo desinfectamos y lo sellamos para salvarlo.
Así evitas extraerlo y mantienes tu sonrisa intacta.
Reemplazamos dientes perdidos con una raíz artificial de titanio que se integra al hueso, y sobre ella colocamos una corona idéntica a tus dientes naturales.
Es la solución más duradera y funcional para recuperar tu sonrisa y masticación.
Cuidamos la salud dental de los más pequeños con técnicas adaptadas a ellos: selladores de caries, fluorizaciones y enseñamos hábitos de higiene.
¡Hacemos que sus visitas sean divertidas y sin miedo!
Si te faltan uno o varios dientes, diseñamos piezas personalizadas que imitan su forma y color.
Pueden ser removibles (como las dentaduras postizas) o fijas (sobre implantes o puentes), devolviéndote la comodidad al hablar y comer.
Pequeñas láminas delgadas (de porcelana o composite) que se adhieren a la parte frontal de tus dientes para corregir formas, cerrar espacios o mejorar su color.
¡Resultados naturales en pocas citas!
Procedimientos como extracciones complejas, injertos de hueso o corrección de la mandíbula.
Usamos tecnología avanzada y seguimiento postoperatorio para garantizar tu seguridad y bienestar.
¿Sueñas con una sonrisa perfecta pero no quieres brackets metálicos? ¡Esta es tu oportunidad! Por tiempo limitado, te ofrecemos ortodoncia invisible (Invisalign) al precio de brackets tradicionales.
Corrige la posición de tus dientes de forma discreta, cómoda y efectiva, sin metal y sin que nadie note que los llevas.
✅ Estudio digital completo (escaneo 3D de tu sonrisa para planificar tu tratamiento paso a paso).
✅ Alineadores transparentes personalizados (cambios cada 2 semanas desde la comodidad de tu casa).
✅ Atención por ortodoncistas certificados (resultados precisos y supervisión constante).
✅ Precio especial (¡pagas lo mismo que por brackets metálicos, pero con todas las ventajas de la ortodoncia invisible!).
No dejes pasar esta oportunidad: la ortodoncia invisible suele ser más costosa, pero ahora puedes acceder a ella sin pagar de más.
🔹 📅 Oferta válida hasta fin del presente mes.
🔹 💳 Facilidades de pago: Opción a meses sin intereses.
Conoce algunos resultados que hemos tenido con nuestros pacientes y que también los podemos conseguir contigo 😀
🔴 ANTES:
Dientes apiñados, mordida incómoda y vergüenza al sonreír. La falta de alineación no solo afecta tu estética, sino también tu salud dental.
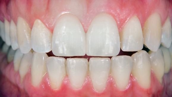
🟢 DESPUÉS:
¡Sonrisa armoniosa y funcional! Con nuestros brackets estéticos o metálicos de alta precisión, tus dientes quedarán alineados para siempre. Disfruta de una mordida correcta y la confianza de lucir una sonrisa de revista.
🔴 ANTES:
Caries profundas, bordes fracturados o dientes con forma irregular. Cada vez que te miras al espejo, solo ves imperfecciones.
🟢 DESPUÉS:
Dientes como nuevos, sin rastros de daño. Con resinas del color exacto de tu dentadura, reparamos caries, grietas y hasta alteramos la forma de tus dientes. ¡Todo en menos de una hora!
🔴 ANTES:
Espacios amplios entre los dientes que afectan tu seguridad al hablar o reírte. El diastema puede causar problemas de pronunciación o acumulación de comida.
🟢 DESPUÉS:
Dientes juntos y simétricos en tiempo récord. Con ortodoncia o carillas de porcelana, cerramos esos espacios para darte una sonrisa compacta y natural. ¡Sin cirugías dolorosas!
El Dr. Jesús Medina es un profesional apasionado por construir sonrisas sanas y alineadas desde su base. Como Especialista en Ortodoncia y Ortopedia Maxilofacial, con un Posgrado en Disfunción Craneomandibular, su metodología integra corrección estructural precisa con una atención empática y cercana.
Su filosofía va más allá de los brackets: “Mi misión es lograr armonía, no solo alinear dientes. Un tratamiento exitoso es el que respeta la fisiología y mejora la calidad de vida para siempre.”
Para el Dr. Medina, cada caso es un compromiso con la salud integral. Sus pacientes reconocen en él:
Un enfoque preventivo y conservador, priorizando siempre la salud bucal sobre soluciones invasivas.
Comunicación transparente, ofreciendo todas las opciones para que decidas con información clara y real.
Adaptabilidad a cada estilo de vida, con sistemas que van desde la ortodoncia clásica hasta opciones prácticamente invisibles.
Educación continua, participando activamente en congresos internacionales para aplicar sólo los avances con evidencia científica sólida.
Agenda tu cita de valoración y construyamos juntos una hermosa sonrisa
Si no encuentras tu pregunta, escríbenos directamente por WhatsApp.
¡Sí! Trabajamos con una amplia variedad de aseguradoras. Te invitamos a contactarnos para confirmar si tu póliza tiene cobertura con nosotros y resolveremos todas tus dudas.
Aceptamos efectivo, tarjetas de crédito y débito. Lo que nos distingue son nuestros cómodos planes de financiamiento con pagos fijos a meses sin intereses* y opciones personalizadas para que recibir el tratamiento que necesitas sea fácil y accesible. (*Aplican términos y condiciones).
¡Estamos para ayudarte! Para emergencias dentales fuera de nuestro horario, tenemos un número de contacto exclusivo para urgencias. Por favor, escríbenos un mensaje por WhatsApp y nuestro equipo se comunicará contigo a la brevedad.
La primera consulta tiene una duración aproximada de 30 a 45 minutos. Este tiempo es crucial para realizar un diagnóstico completo, escuchar tus necesidades y elaborar un plan de tratamiento personalizado y sin compromiso.
Tu seguridad es nuestra prioridad. Seguimos estrictos protocolos de bioseguridad. Todo nuestro instrumental es esterilizado en autoclaves después de cada uso y utilizamos equipos de protección desechables. No comprometemos tu salud.
Sí, la consulta de valoración y diagnóstico tiene un costo recuperable, el cual se aplica posteriormente a tu tratamiento si decides realizarlo con nosotros. Creemos en la transparencia desde el primer momento.
El Dr. Jesús Medina, combina más de 10 años de experiencia con tecnología de punta y un trato excepcional. No solo soluciona problemas dentales; construye relaciones de confianza a largo plazo con sus pacientes, ofreciendo seguimiento puntual y financiamiento flexible. Tu sonrisa está en las mejores manos.
Av. Reforma 222, CDMX
© 2026 Todos los derechos reservados Conec Card